Стоимость подготовки к проведению чистки зубов собаке
Если ультразвуковая чистка зубов собаке будет проводиться с наркозом, питомцу необходимо будет пройти предварительный ветеринарный осмотр. Таким образом, ветврач исключит наличие у пациента противопоказаний к процедуре. К ним относятся:
- молодой возраст (не завершен период смены зубов);
- беременность самки;
- травмы головы и конечностей;
- хронические болезни в острой форме;
- инфекционные заболевания.
Ветеринарный врач может направить пациента на прохождение ЭХО-скрининга сердца, сдачу анализов мочи и крови. Все это в стоимость чистки зубов животных не входит и оплачивается соответственно прейскуранту ветучреждения.
Как проходит процедура
Ультразвуковая чистка зубов проводится в несколько этапов:
- При помощи скайлера удаляется зубной камень. Под воздействием высокочастотных колебаний минеральные отложения разрушаются ультразвуковыми волнами.
- Чистка зубов ультразвуком оставляет на поверхности эмали незначительную шероховатость. Далее зубы полируются для окончательного устранения остаточной шероховатости, которая способствует образованию новых отложений и образованию камней. В состав полировочной стоматологической пасты входят ингредиенты, которые укрепляют зуб снаружи и изнутри, отбеливают, повышают концентрацию минеральных солей в зубной эмали.
В процессе процедуры непрерывно осуществляется контроль анестезиолога и мониторинг сердечного ритма, давления и дыхательных функций.
Осмотр стоматолога (УЗ чистку зубов по необходимости) рекомендуется проходить 1 раз в год. В остальное время необходимо тщательно соблюдать меры профилактики и ухаживать за ротовой полостью собаки/кошки.
Комплексная проф чистка зубов
Гигиеническая процедура проводится разными профессиональными методами. В стоматологической клинике в Москве проф методика индивидуальна для каждого. Независимо от выбора, процедура проводится в несколько этапов:
- Стоматолог осматривает ротовую полость пациента. На основании осмотра составляется план лечения. Если нужна чистка зубов виды и методики определяет гигиенист.
- Выполняется химическое очищение и удаление мягкого налета профессиональной зубной щеткой.
- Удаление твердого налета зависит от выбранного профессионального способа.
- Стоматологическими штрипсами стоматолог чистит боковые стороны зубов и шлифует их.
- Выполняется полировка эмали со всех сторон, устраняются все неровности. Для этого в стоматологии предназначены специальные щетки и профессиональные очищающие средства.
- Глубокая чистка зубов завершается нанесением на поверхность раствора, содержащего фтор. Наносится состав ненадолго. Профессиональное фторирование укрепляет эмаль, поскольку за счет воздействия зубного камня она ослабляется. Фторировать зубы следует для снижения их чувствительности и в целях профилактики кариеса. Фторирование можно делать в виде отдельной процедуры.
После гигиенической процедуры стоматолог дает пациенту рекомендации по профессиональному уходу за полостью рта. Это позволяет дольше сохранить эффект.
Суть метода
Снятие зубных отложений специальным аппаратом – наиболее предпочтительный в современной стоматологии метод, при помощи которого можно эффективно избавиться от твердого налета и зубного камня, а также от коричневых и черных пятен от кофе и чая. По сравнению с механической чисткой, он более безопасен и помогает добиться лучшего результата.
Метод заключается в том, что под влиянием ультразвуковых волн с колебательным движением зубной камень быстро отделяется от эмали, не царапая ее. Большинство пациентов отмечают, что во время воздействия ультразвука им практически не бывает больно, однако отдельные люди испытывают дискомфорт из-за повышенной чувствительности зубной эмали — индивидуальной физиологической особенности. В случае особенно неприятных ощущений стоматолог предлагает местную анестезию.
Ультразвуковая чистка от зубного камня проводится с помощью специального аппарата под названием скалер. Наконечник вибрирует рядом с эмалью, но не касается ее, в результате отложения разрушаются. Происходит не только очищение поверхности зубов, но и удаление камня из пародонтальных карманов — промежутков, между десной и зубными корнями.
Что дает чистка зубов собаке без наркоза?
Она позволяет на должном уровне поддерживать здоровье домашнего питомца. Проводимая вовремя, эта процедура предупреждает и/или устраняет воспаления слизистых оболочек ротовой полости. Чистка зубов собаке ультразвуком «продлевает жизнь» моляров (коренных жевательных зубов), которые отвечают за первичную механическую обработку пищи животного.
Благодаря ей дыхание четвероного друга свежее. Он не испытывает дискомфорта и боли. Хозяину не приходиться устранять последствия запущенных заболеваний питомца, которые в сравнении с профилактикой проблем со здоровьем обходятся дорого.
Удаление зубного камня
Чтобы удалить зубной камень, что нужно делать, а чего не стоит? Постараемся ответить на этот вопрос. Уже затвердевшие зубные отложения, в отличие от налета мягкой консистенции, не поддаются удалению с помощью привычной зубной пасты и щетки. Поддесневой и наддесневой зубные камни можно удалить только в стоматологическом кабинете, при этом бактериальный и не слишком заметный пигментный налет на поверхности зубов без проблем поддается ликвидации на дому.
Профессиональное очищение камня в стоматологическом кабинете
Как избавиться от зубного камня? Конечно, будет лучше всего, если пациент обратится к стоматологу. Профессиональная чистка зубного камня позволяет провести его удаление так, как убрать зубной камень не поможет ни одно средство, используемое в домашних условиях. В числе профессиональных способов удаления твердых зубных отложений специалисты особо выделяют ультразвуковой скалер. Удалить наддесневой зубной камень стоматолог может с поверхности всех зубов пациента примерно за час, удаление же поддесневых зубных камней требует не только высокой врачебной квалификации и опыта, но и выполняется за несколько посещений.
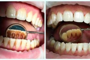
До и после удаления зубного камня
После того, как удастся избавиться от зубного камня, специалист должен выполнить полировку зубной поверхности при помощи полировочных паст и щеток либо путем проведения процедуры Air Flow, когда на поверхность зубов подается смесь воздуха и воды с частицами абразива. По словам специалистов, цена удаления зубного камня и полировки начинается от 100 рублей за зуб.
Инновации: Удаление зубного камня лазером
Специалисты утверждают, что лазерное удаление зубного камня сопоставимо с ультразвуковой чисткой зубов. Сначала стоматолог выполняет осмотр пациента и, если процедура не противопоказана, назначает ликвидацию твердых зубных отложений с помощью лазера.
Далее специалистом определяется охват проблемы. В большинстве случаев камень обнаруживается на поверхности 4-6 зубах, поэтому требуется их чистка с профилактической обработкой близлежащих к ним зубов. При плотных отложениях может проводиться не слишком актуальное на настоящий момент протравливание при помощи химических веществ, наносимых на зубы и разрушающих камень до хрупкого состояния с целью последующего его удаления.
После подготовительных мероприятий специалист начинает проведение лазерного удаления зубного камня, что делать лучше на начальных стадиях данной проблемы. Суть процедуры – во влиянии на влагу, которой в зубном налете намного больше, чем в эмали зубов, за счет чего происходит удаление именно зубных отложений без повреждения эмали. Результатом процедуры становится раздробление зубного камня, который остается лишь смыть водой.
Удаление зубного камня на дому
Стоит понимать, что применение химических средств и народных рецептов для очищения зубного налета не только неэффективно, но и опасно для здоровья десен и эмали. Качественно удалить уже затвердевший зубной и уплотненный пигментный налет в домашних условиях не представляется возможным. Более того, борясь с зубным камнем, вы можете при этом с высокой вероятностью повредить и здоровую эмаль зуба, ведь те срезства, которые воздействуют на камень, негативно воздействуют и на зубную эмаль, а изолировать ее в домашних условиях вы вряд ли сможете.
При частичной минерализации мягкого зубного налета и слабовыраженном пигментном налете эффективно использование следующих особых средств:
- Электрическая зубная щетка;
- Отбеливающая зубная паста высокого уровня абразивности;
- Ультразвуковая зубная щетка.
В целом опытные специалисты не рекомендуют пытаться убрать сильный зубной камень дома – это может привести к повреждению эмали или воспалению десен.
Предварительные мероприятия
Ультразвуковая чистка зубов собаке требует предварительной подготовки. Она заключается в следующих действиях:
За полдня перед чисткой нужно полностью перестать давать собаки пищу
Но при этом важно обильно поить.
За два часа рекомендуется организовать питомцу подвижные игры, чтобы он немного устал.. Эта подготовка потребуется в том случае, если чистка проводится без анестезии
Соблюдением диеты можно исключить возникновение рвоты в процессе очищения, питомец не будет активно сопротивляться
Эта подготовка потребуется в том случае, если чистка проводится без анестезии. Соблюдением диеты можно исключить возникновение рвоты в процессе очищения, питомец не будет активно сопротивляться.
Важно! Если процедура проходит без наркоза, потребуется дополнительная подготовка. Она заключается в проведении обследования, определения чувствительности собаки к анестезии.
Чистка под наркозом рекомендована только крупным собакам
Профилактический уход после комплексной чистки
Стоматологи считают нормой появление кровоточивости десен, чувствительность зубов к холодным и горячим раздражителям после механического вмешательства. Обычно эти проявления проходят спустя несколько дней. Они вызваны повреждением мягких тканей. Если они воспалились в результате обработки поддесневых участков, стоматологи рекомендуют профилактическое лечение.
Механическая чистка зубов также может привести к раздражению и отекам слизистой оболочки. В первый день после нее не стоит употреблять продукты со специями, красителями, кофе или чай. Рекомендуется отказаться от курения.
Правило гигиены – чистка зубов до завтрака или после еды.
Чтобы укрепить эмаль и предотвратить образование отложений, стоматолог после процедуры наносит профессиональные средства. Если десна воспалены, кровоточат, нельзя прикасаться руками к воспаленным участкам. Для соблюдения гигиены лучше воспользоваться ватными палочками.
Способствует быстрому восстановлению чистка зубов дома с использованием мягкой зубной щетки и полоскания рта отварами из коры дуба, ромашки или шалфея. Стоматологи рекомендуют сначала чистить зубы, а потом завтракать.. Вечером стоит чистить их непосредственно перед сном. Дополнительно следует пользоваться флоссом.
Плюсы и минусы процедуры
Плюсы:
- Удаление минерализованных отложений в не только в наддесневой, но и в поддесневой части зубов
- Визуальное осветление эмали за счет устранения пигментированного зубного камня
- Устранение одной из причин, провоцирующих заболевания пародонта
- Очищение пародонтальных карманов
- Возможность очистить эмаль за одно посещение клиники
- Безболезненность
- Отсутствие контакта металлического наконечника скалера с эмалевым слоем
- Безопасность для эмали и организма в целом
- Доступность цены
Минусы:
- Нельзя проводить чистку имплантов, брекет-систем
- Большой перечень противопоказаний
- При повышенной чувствительности эмали требуется местная анестезия
Как приучить собаку чистить зубы
Для того чтобы максимально быстро и эффективно приучить питомца к чистке зубов, необходимо соблюдать ряд не хитрых правил. Чистка зубов должна проводиться в вечернее время, после активного времяпровождения, после приема пищи.
Физически вымотанное животное не будет так активно сопротивляться как отдохнувшая, полная сил и энергии собака. Гель для чистки зубов у собак, необходимо приобретать в специализированном магазине. Прежде всего, само средство для чистки и щетку, нужно дать обнюхать собаке.
Во время совершения процедуры очистки, рекомендуется ласково разговаривать с любимцем. Лучше когда на начальных этапах процедуру будут выполнять двое человек. Один сможет поглаживать и успокаивать собаку, а второй будет заниматься очисткой зубов.
Для того чтобы приучить чистить зубы щенка, первые пару дней не желательно использовать щетку. Можно наносить на пальцы небольшое количество геля или специальной пасты, давая малышу привыкнуть ко вкусу средства.
Удерживать собаку, разжимать ей пасть и насильно пытаться вычистить зубы запрещено. Такие действия способны вызвать только негативные эмоции и в дальнейшем переучить любимца будет крайне сложно.
Начинать приучение специалисты настоятельно рекомендуют с самого раннего возраста. Это позволит привить смирение у щенка к различным гигиеническим процедурам – чистка зубов, ушей, осмотр и промывание глаз.
В специализированных магазинах для животных, представлен широкий выбор всевозможных средств для ухода за ротовой полостью и зубами. В составе зубной пасты могут быть экстракты ромашки, мяты, календулы, ромашки, прополиса или даже ионов серебра. Все эти вспомогательные компоненты эффективно ведут борьбу с патогенными бактериями, удаляют образовавшийся налет, способствуют укреплению эмали и десен, а также оказывают благоприятное действие в защиту десен от кровоточивости.
Важно помнить, что пасту, предназначенную для чистки человеческих зубов, использовать питомцам нельзя. Прежде чем начинать чистить зубы, необходимо подобрать вид зубной щетки, который будет удобен для использования животному
Существует несколько видов:
Прежде чем начинать чистить зубы, необходимо подобрать вид зубной щетки, который будет удобен для использования животному. Существует несколько видов:
- Напальчник – силиконовый или резиновый напальчник, с одной стороны оснащен щетиной. Можно использовать для очистки ротовой полости, как щенкам, так и уже подросшим собакам.
- С обычной пластиковой или деревянной ручкой – щетки могут быть со щетиной с двух сторон. Такой вид щетки отлично подходит для очищения больших моляров, а также расположенных спереди мелких зубов. Хорошо прорабатывать и очищать зубы щеткой с длинной ручкой мелким собакам.
- На батарейках (электрическая) – работает от источника энергии. Издает ультразвуковые волны, эффективно удаляющие образовавшийся на зубах налет. Рекомендуется приобретать электрическую зубную щетку после того, как любимец привык к обычной.
О необходимости чистки зубов
Систематический уход за собачьими зубами важен не только для эстетики экстерьера вашего любимца и устранения отталкивающего «аромата», исходящего из его пасти, но и для профилактики различных заболеваний ротовой полости. В первую очередь, чистка зубов уменьшает риск образования зубного камня, который провоцирует кариес, пародонтоз, стоматит, гингивит, абсцессы. Ряд заболеваний ротовой полости способен приобретать хроническую форму, что, в свою очередь, представляет опасность для работы сердечно-сосудистой и иммунной системы организма животного.
Причина возникновения зубного камня – образование мягкого зубного налета, который постепенно отвердевает, поэтому только наметившийся налет необходимо удалять. Обычно чистку зубов осуществляют 1-2 раза в неделю. Однако многие животные имеют предрасположенность к скоротечному образованию зубного камня, среди них – пудели, кокеры, представители группы терьеров, а также собаки с неправильным прикусом. Для них может быть показана ежедневная гигиеническая манипуляция.
Независимо от того, как часто вы чистите собаке зубы, эта процедура не является полноценным «предохранителем» от возникновения опасных патологий в ротовой полости. Воспалительные процессы могут быть связаны с неправильным питанием животного, либо являться симптомами других, более серьезных внутренних заболеваний. Однако в процессе обработки зубов «пациента», вы сможете своевременно обнаружить первые признаки воспалений. Первое, что должно вас обеспокоить, – постоянный, не исчезающий даже после стоматологической процедуры запах из пасти животного, а также покраснение десен, шишечки, опухоли, кровоточивость. Заметив подобные симптомы, поспешите направиться со своим питомцем к ветеринару.
Чистка зубов – необходимая гигиеническая процедура для собак
Когда наркозом лучше не пользоваться?
Многие ветеринары предлагают избавить собаку от зубного камня под общим наркозом. Это связано с тем, что во время проведения чистки питомец испытывает большой дискомфорт. Но не стоит путать неприятные ощущения и боль. Боли при такой чистке собака не испытывает. Поэтому предлагая песику наркоз, ветеринар стремится сделать свою работу проще.
Врачи, практикующие чистку зубов ультразвуком с анестезией, используют общий наркоз. У него много противопоказаний и для организма собаки это серьезный стресс. Если собака не крупной породы и спокойно относится к людям в белых халатах, можно смело отказываться от общего наркоза. В случае если процедура может быть болезненной, ветеринар предложит местную анестезию.
Важно! Общий наркоз необходим владельцам крупных пород собак и агрессивным животным, пережившим недавно сильный стресс.
В каких случаях показана чистка
Удаление зубного камня ультразвуком у собак применяется в следующих случаях:
- появился неприятный запах из ротовой полости;
- стало заметно пожелтение эмали.
При обнаружении первых признаков образования зубного камня рекомендуется отвезти собаку в ветклинику. Питомец должен пройти предварительное обследование, чтобы исключить развитие заболеваний, связанных с работой пищеварительной системы.
Если противопоказаний не обнаружено, владельцу предложат ультразвуковую чистку зубов питомца при помощи скалера. Это аппарат, которые предназначен для разрушения зубного камня и налета.
Профилактика образования зубного камня
Чтобы обеспечить надлежащий уход за ротовой полостью собаки и серьезную заботу о здоровье, выполняйте следующие профилактические правила:
- 4-7 раз в неделю чистите зубы питомца специальной зубной пастой и щеткой;
- Покупайте полезные игрушки и лакомства для собак/кошек, которые массажируют десна и минимально способствуют счищению зубного камня.
Если вам нужен ветеринар стоматолог в СПб, обратитесь в клинику ГВЛДЦ № 1 на улице Турку д.11 к.2.
Чтобы записаться на прием или узнать стоимость, позвоните нам по указанному на сайте телефону. Обращайтесь к нам в любое время суток!
Записаться
Записаться на прием к врачу в ветцентры на Турку, 11 к.2,
Петергофском ш.47 к.2 и Димитрова 11/67 можно по телефону (812) 660-77-80
Чистка зубов Air Flow или ультразвуком: суть методов
Название УЗ-чистки говорит само за себя: специальный инструмент — скейлер — подносят к зубу. Наконечник прибора вырабатывает звуковые волны ультрачастотного диапазона, которые разрушающе воздействуют на налёт и разбивают камни на мелкие частицы. Они удаляются стоматологическим пылесосом. Обычно дополнительно зуб омывают водой или специальным гелем: сухая обработка может травмировать ткани.
УЗ-чистку используют для удаления образований в поддёсневых и межзубных пространствах. Скейлер имеет разные насадки, которые выбирают в зависимости от тяжести отложений. После процедуры эмаль полируют с мягкой абразивной пастой и наносят фторсодержащий раствор. Ультразвук — бесконтактное воздействие, поэтому поверхность зуба не повреждается.
Air Flow — метод очистки с помощью абразива и воды, которые подают под давлением на коронку зуба по принципу пескоструя. Для удаления смеси используют стоматологический аспиратор. Этот способ профгигиены более деликатный, поэтому подходит для налёта без затвердевших отложений и рекомендован при ношении брекет-систем и обработке труднодоступных зон. Он не удаляет зубные камни, но эффективно справляется с мягким налётом, потемнением эмали от сигарет и кофе. А также обладает отбеливающим эффектом, делая зубы светлее на 1-2 тона и возвращая их естественный цвет.
Технология чистки зубов
Время проведения процедуры зависит от объема работ. В среднем ультразвуковая чистка зубов занимает 40-50 мин. В процедуру входят следующие этапы:
- осмотр полости рта, оценка состояния эмали, выбор длины и частоты волны;
- распределение специального препарата на поверхности зубов;
- обработка ультразвуком;
- полировка.
Процедура не причиняет боли и дискомфорта, анестетические препараты в ней не используются.
В нашей клинике работают квалифицированные специалисты с большим практическим опытом. Они точно оценят состояние эмали, грамотно подберут безопасный режим работы. Специальный гель наносится на эмаль для повышения эффективности воздействия волны. С его помощью зубной камень, плотный налет, пигментные пятна можно устранить быстрее.
В полировке зубов после чистки применяются специальные пасты. Процедура позволяет придать эмали идеальную гладкость, устранить неровности, микротрещинки. Это предотвратит образование налета на зубах, исключит его скапливание в течение длительного времени. Если эмаль ослабленная, проводится фторирование, укрепляющее ее структуру.
Уход за зубами после ультразвуковой чистки
Чтобы максимально продлить эффект, рекомендуется выполнять ряд советов от стоматологов:
- Эмаль нужно особенно беречь первые 3-4 дня. Чистка зубов – после каждого приема пищи, не реже, желательно пользоваться ополаскивателями, ирригаторами и нитью.
- Ни в коем случае не пытаться «закрепить эффект» отбеливающими пастами. Любой абразивный состав может привести к необратимым повреждениям эмали, не говоря уже о рисках занести инфекцию и спровоцировать воспаление пульпы.
- Ежедневный рацион нужно изменить – сократить количество пищевых красителей, в том числе ягод и экзотических фруктов. А вот молочные продукты, сыр и творог следует употреблять как можно больше – они восполняют суточную потребность в кальции.
- Врачи также не советуют большие перепады температур – горячую пищу следует запивать некрепким чаем близкой температуры, а не ледяной газировкой.
- Не стоит забывать и о тонусе зубов – чтобы поддерживать его на должном уровне помогут свежие яблоки или морковь, но только после того, как чувствительность эмали вернется в нормальное состояние.
- Если мягкие ткани были задеты во время чистки – врач обязательно выпишет антисептические и обезболивающие мази. Пользоваться ими нужно строго по инструкции, чтобы не вызвать привыкания.
- При малейшем подозрении на воспаление – немедленно обратиться в клинику за консультацией и возможным лечением.
Подготовка животного к процедуре очистки зубов
Хотя процедура очистки зубов у собак ультразвуком не является достаточно сложной манипуляцией, все же примитивную подготовку животного придётся провести.
Если проведение анестезии запланировано, то следует сдать общий клинический анализ крови, а также произвести ультразвуковое исследование сердца. Иногда перед проведением наркоза ветеринары назначают особую иммунотерапию. Это делается для того, чтоб возможные последствия наркоза были минимальными.
Исключение кормлений за 12 часов до проведения процедуры. Однако это не касается потребляемого объема жидкости. Собака должна получать воду в полной мере.
В заключении стоит отметить, что если вы достаточно заботитесь о состоянии здоровья своего питомца, то стоит в обязательном порядке проводить чистку зубов не менее чем 2 раза в год. Проведение такой процедуры при помощи ультразвуковой методики сделает сам процесс намного облегченным и безопасным.
https://youtube.com/watch?v=HFPUlISMqE0
Особенности ультразвуковой чистки зубов у собак без наркоза
Удаление зубного камня у собак ультразвуком без наркоза имеет свои особенности. Проводят ее домашним питомцам со спокойным характером, поскольку далеко не все породы переносят анестезию, особенно декоративные. Несмотря на то, что ветврачи могут с высокой точностью рассчитать требуемую дозу наркоза, они предпочитают проводить процедуру без него.
Наркоз в 100 % случаев не применяют, если чистка проводится взрослой собаке старше 5 лет, поскольку существенно повышается вероятность того, что животное может не проснуться. Если питомец боится жужжания аппарата и периодического разбрызгивания воды, нервничает, дезориентирован и агрессивен, то без наркоза не обойтись. Как правило, в нем нуждаются крупные собаки с непредсказуемым и агрессивным характером, их довольно трудно зафиксировать в удобном положении.
Обратите внимание! Наркоз бывает общим и местным, преимущественно используют первый, чтобы животное не испытывало стресса
Чистка зубов от налета по методике Air Flow
В отличие от ультразвукового метода, Air Flow – воздействие на твердый налет потока воздуха вместе с абразивом. Абразивный материал – это сода, которая подается вместе с тонкой струей воды. Добавление в воду ментоловых или лимонных отдушек дает освежающий эффект. Мелкие частицы соды, ударяющиеся об эмаль за счет потока воздуха, не приносят вреда зубам. Они эффективно справляются с мягким и твердым налетом в десневых карманах и межзубных промежутках.
Чистка зубов водой уменьшает нагрев эмали во время гигиенической процедуры. Этот профессиональный способ помогает в эффективном снятии налета и зубных камней, тщательно полирует эмаль.
Кроме использования в качестве комплексного подхода, чистка зубов воздухом подходит в следующих случаях:
- во рту установлены имплантаты, коронки, другие ортодонтические конструкции, а также если предстоит снятие брекетов или имплантация;
- проблемы с деснами на начальной стадии или есть налет, еще не перешедший в зубной камень;
- выраженная пигментация зубов из-за курения, злоупотребления кофе и продуктов с красителями.
Профессиональная методика Air Flow безопасна и безболезненна, воздействует щадяще, не может дать аллергической реакции.
Если проводится профилактическая чистка зубов не в рамках комплексной процедуры, эффект будет кратковременным. Для более стойкого результата ее стоит проходить около четырех раз в год.
Какие преимущества дает чистка зубов для собаки
Чистка зубов собаке ультразвуком проводится совершенно безболезненно, разумеется, если питомец был доставлен в ветклинику не с острой зубной болью. Если питомец здоров, все равно регулярно требуется проводить гигиеническую чистку ротовой полости питомца, ведь это сохранит ему жизнь, предотвратит развитие ряда заболеваний. Основные преимущественные особенности ультразвуковой чистки:
- обеспечение надлежащего здоровья животного;
- продление жизни моляров, они дольше не будут выпадать;
- предупреждение и/или устранение воспалений слизистых оболочек ротовой полости животного;
- обеспечение свежего дыхания.
Процедура в подавляющем большинстве случаев хорошо переносится домашними животными, поскольку не доставляет чувства дискомфорта или боли. Она длится не долго, благодаря чему питомец не успевает устать.
Зубной налет и камень у собак
Подготовка
Ультразвуковая чистка – достаточно серьезная и тяжелая процедура. Без предварительной подготовки обойтись невозможно. Сам процесс воздействия на зубы ультразвуком может тяжело переноситься собакой, поэтому, хозяин и ветеринар должны работать в дуэте и сделать максимум для того, чтобы неприятная процедура прошла без конфузов и осложнений.
Заблаговременно стоит:
- за 8-12 часов до чистки не давать животному еды. Воду можно предлагать без ограничений;
- непосредственно перед проведением чистки следует сделать УЗИ сердца и биохимический анализ крови. Этой мерой нельзя пренебрегать, если планируется введение седативных препаратов.
Как часто стоит проводить чистку зубов?
Ультразвуковая чистка зубов является отличной профилактической процедурой, позволяющей сохранять их здоровье и красоту, предотвращать заболевания. Волна не только разрушает зубной камень и налет. Она уничтожает патогенные бактерии, исключается риск создания очага воспаления. Во время процедуры устраняются пигментные пятна, слои красителей. Зубы становятся светлее на 1-2 тона, что повышает привлекательность улыбки.
Периодичность профессиональной обработки зависит от индивидуальных особенностей. У каждого человека с различной скоростью происходит формирование зубного камня. Ультразвуковая чистка зубов является безопасной процедурой, может проводиться от одного до 4 раз в год.
Очищение эмали входит в комплекс подготовки к проведению имплантации зубов, протезирования. Иногда обработка ультразвуком требуется для обработки каналов при установке сложной пломбы для надежности фиксации. В таких случаях процедуру назначает специалист.
Средства для чистки зубов собаки
Помимо щетки с пастой существует еще немало способов, помогающих содержать клыкастую пасть в порядке. Лучше не доводить ситуацию до серьезных последствий, когда домашняя чистка зубов собаке без наркоза уже не помогает. Желательно вовремя проводить профилактические процедуры, совмещая их с использованием дополнительных средств. Зоомагазины предлагают следующие предметы по уходу за полостью рта четвероногих питомцев:
- зубная паста;
- зубная щетка;
- специальные гели;
- ополаскиватели;
- жевательные лакомства;
- зубные игрушки;
- спреи.
Зубная щетка для собаки
Строение и размеры пасти у животных сильно отличаются в зависимости от пород. Например, не существует универсальной щетки, чтобы чистить зубы собаке доберману и мопсу. В зоологических магазинах можно подыскать предметы разной конструкции и исполнения:
-
- Силиконовые щетки-напальчники.
-
- Трехсторонние щетки – качественная всесторонняя чистка зубов собаке.
-
- Щетки с удлиненными ручками – для обработки в глубине пасти.
-
- Электрические щетки – чистка зубов от камня собаке производится безопасным инструментом, работающим от аккумуляторов или батареек.
Зубная паста для собаки
Предлагать человеческие средства животным нежелательно. При проникновении в желудок составы с фтором способны вызывать расстройства, рвоту, даже судороги или сильное отравление. Разработанная специально паста для собак для чистки зубов отличается щадящим составом. Она имеет привкус сладостей, мясных продуктов или арахиса. В качестве абразива применяется природная глина, а пена не образуется.
Проверенные производители пасты для чистки зубов собаке:
-
- Beaphar (Нидерланды);
- Hartz (США);
- 8 in 1(США);
- Gimpet (Германия);
- Trixie (Германия);
- Camon (Италия).
Гель для чистки зубов у собак
Помимо привычных паст начали появляться новые средства по уходу за ртом с усовершенствованной формулой. При помощи гелей чистка зубов собакам без наркоза происходит естественным путем, и во многих случаях использование щетки уже не обязательно. В их состав включают очищенную воду, глицерин, карбопол, спирт, хлорофиллин, фитокомплекс на основе целебных трав. Для примера опишем инструкцию применения популярного препарата Tropiclean:
- После кормления выдавливаем пару капель Tropiclean.
- Наносим состав на зубы.
- Облизывание животным зубов и губ способствует распространению средства вместе со слюной по поверхности рта.
- Далее полчаса нельзя давать питомцу пить и кушать.
- Чистка щеткой применяется только при наличии сильного налета для удаления размягченных гелем зубных камней.
- Через месяц снижаем периодичность использования Tropiclean до двух раз на неделю.
Спрей для пасти собаки
При воспалительных процессах привычные способы обработки зубов и десен становятся затруднительными и вызывают болезненные ощущения. Альтернативным вариантом является применение стоматологического средства в виде спрея. Гигиеническая чистка зубов у собак производится быстро, уменьшается риск повредить эмаль или десна. Хорошие препараты дополнительно оказывают кровоостанавливающие, противовоспалительные и ранозаживляющие свойства. Моментально устраняется плохой запах из пасти.
Примеры популярных стоматологических спреев:
-
- Зубастик;
- GILL´S;
- Dental Spray;
- Beaphar Fresh Breath Spray;
- Trixie;
- Espree Natural Oral Care Spray.
Кости для чистки зубов у собак
Собаководы знают, что сухие корма меньше налипают на резцы, и даже мелкие крошки питомцу легче слизать с десен. В качестве дополнительного средства в стоматологии используются лакомства для чистки зубов для собак. В качестве полезной природной подкормки подойдут куриные шейки, животные будут их долго разделывать, чтобы добраться до вкусных кусочков. Зоомагазины предлагают синтетические косточки на основе злаков, овощей, молочных продуктов, сыромятной кожи, мяса, минералов. Используя такие продукты, обязательно редактируйте рацион с учетом их калорийности.
Игрушки для чистки зубов у собак
Разгрызая обувь, ножки мебели и другие вещи, животные стараются приглушить зуд во рту. Так инстинктивно природным способом происходит механическая чистка зубов у собак. Спасти домашнюю обстановку помогают забавные жевательные игрушки для массажа десен из безопасного материала. Подбирая данные предметы в зоомагазине, учитывайте их жесткость и внешний вид. Изделие должно быть удобным для захвата ртом и не слишком твердым.
Примеры жевательных игрушек:
-
- гладкие косточки;
- косточки с шипами;
- колечки;
- мячики;
- канаты с мячиком;
- ролики;
- фигурки животных.
Когда необходимо воспользоваться ультразвуковой чисткой?
Помимо гигиены, есть ряд других важных стоматологических показаний, при которых рекомендуется проводить чистку зубов ультразвуком. Эту процедуру необходимо сделать перед установкой брекет-системы и во время подготовки к протезированию, чтобы максимально точно подобрать оттенок коронки к родному цвету эмали.
Для устранения очагов инфекции, которые могут скрываться в деснах, также назначают очистку. Во время лечения кариеса полезно проводить полировку поверхности зубов, чтобы повысить сцепку материала с местом пломбирования. С помощью профессиональной гигиены получится полностью предотвратить развитие пародонтоза, ведь болезнь начинается с постепенного разрастания зубного камня и при отсутствии своевременного лечения грозит потерей здорового зуба.
Часто к ультразвуковой чистке обращаются те, кто хочет отбелить зубы. Хотя это является только приятным дополнением к процедуре, стоматологи и их пациенты отмечают осветление на 1-2 тона после ультразвуковой чистки десен и зубов.




