Если владелец против рождения котят
Как только появляются признаки беременности, проводят стерилизацию. Более безопасных способов прерывания не существует. На поздних сроках стерилизация из рядовой процедуры превращается в сложную операцию, которая может подорвать здоровье питомицы. Кроме того, многие ветеринары из этических соображений не соглашаются оперировать кошку, когда эмбрионы уже не просто крошечные зародыши, а почти сформировавшиеся котята.
Другие способы прервать беременность:
Эстрогены – препарат вводится непосредственно после полового акта, предотвращает беременность. Побочные эффекты: маточные инфекции, неизлечимое бесплодие, гормональные нарушения, патологии функционирования костного мозга.
Простагландины – применяют для вызова преждевременных родов в первой половине беременности. После такой инъекции в обязательном порядке яичники кошки удаляются. Побочный эффект: высокая вероятность возникновения маточной инфекции.
Глюкокортикоиды – применяют на поздних сроках для вызова преждевременных родов. Кошка фактически рожает, но плоды нежизнеспособны или мертвы. Травматичный и опасный процесс, нередко заканчивающийся экстренным кесаревым сечением.

Роды не в срок
Даже при вполне нормальном течении беременности роды могут произойти позже предполагаемого срока, в пределах нормы одна неделя задержки. Причины могут быть разные — например, стрессовая ситуация. Однако, если кошка так и не родила по истечении 70 дней беременности, следует срочно обратиться к врачу, так как это может быть опасно как для нее, так и для котят.
Если котята рождаются, наоборот, раньше срока на неделю — это нормально, но если они родятся раньше 58 дней, то будут нежизнеспособными.
Как протекает интересное положение
Заботливые хозяева, ожидающие потомства, заводят специальные блокноты, чтобы следить, как протекает беременность у любимой кошки. Можно составить график по неделям и отмечать все изменения, происходящие с кошкой. Так будет проще сравнивать текущее состояние здоровья животного с нормами. В таблице приведено оптимальное протекание беременности.
Таблица — Беременность кошки по неделям
| Неделя | Симптомы | Размер плода, см |
|---|---|---|
| 3-4 | — Припухлость, потемнение молочных желез; — токсикоз, проявляющийся тошнотой, отказом от пищи, утренней рвотой; — снижение активности |
4 |
| 5-6 | — Увеличение массы тела; — округление живота; — появление молока; — резкое повышение аппетита |
6 |
| 7-8 | — Линька; — активное гнездование; — понижение аппетита; — движение котят |
9,5 |
| 9-10 | — Снижение активности, апатия; — заметное увеличение молочных желез; — выделение прозрачной слизи из вульвы; — понижение температуры тела до 37°С |
12,5 |
Перед самыми родами кошка проявляет активность. Питомица ходит за хозяином, мяукает, возится в отведенном для окота месте. Фигура кошки становится грушевидной: округлость смещается к выходу из матки. Наблюдаются спазмы — схватки. Заметив данные признаки, хозяин должен подготовиться к родам.
Суперфетация
На третьей-шестой неделе беременности у кошки может начаться плановая течка. Такое случается с одной из десяти беременных кошек и считается нормальным в условиях городских квартир. Организм, получающий все блага для счастливой жизни (свет, тепло, пищу), «игнорирует» беременность и готов спариваться. Происходит это из-за гормонального сбоя, а именно из-за недостатка прогестерона, отвечающего за вынашивание потомства.
Если кошка часто вылизывает половые органы, ведет себя беспокойно, проведите тест на наличие течки. Приложите к вульве салфетку. Если на ней остались прозрачные пятна, кошка потекла.
Повода для беспокойства нет, следует только оградить будущую маму от потенциальных половых партнеров. Иначе произойдет повторное оплодотворение, что может закончиться одной из трех ситуаций:
- выкидыш — погибают и «старшее», и «младшее» потомство;
- недоношенность — первые котята рождаются здоровые, вторые — недоношенные или мертвые;
- повторные роды — через три-шесть недель после первых родов кошка рожает повторно (случается редко).
Для кошки наиболее благоприятный исход — родить котят от обоих отцов здоровыми. Однако количество сосков у мамы ограниченно, и потомство от второго оплодотворения может умереть с голоду.
Ложная беременность
Случается, что симптомы беременности проявляются, а роды у кошки не наступают. Это ложная беременность. Фактически оплодотворения не произошло, но питомица ведет себя как будущая мать. У нее округляются формы, набухают молочные железы, меняется аппетит.
Кошка приступает к строительству гнезда, становится раздражительной или, наоборот, тихой и спокойной. Мнимая беременность ярко выражается в «усыновлении» тапок, носков, варежек. Кошка может таскать вещи по квартире, как детенышей, и даже кормить молоком.
Ложная беременность у кошек — это не блажь и не игра в «мамочку», а серьезное психическое заболевание, связанное с нарушением гормонального фона. Проявляется как у повязанных, так и целомудренных питомиц. Сиамские и персидские кошки имеют склонность к ложной беременности. Возможными причинами нарушения гормонального баланса являются:
- стресс, эмоциональное потрясение;
- стимулирование овуляции кастрированным котом;
- инфекционные заболевания репродуктивных органов;
- патологии щитовидной железы;
- дефицит внимания;
- соседство с беременными, кормящими кошками;
- наследственность.
Лечится расстройство низкокалорийной диетой (снижается выработка молока) и медицинскими препаратами по назначению ветеринара. Без лечения ложной беременности у кошки может развиться мастопатия. Это заболевание молочных желез питомицы, которое приводит к злокачественным опухолям. Также мнимая беременность, пущенная на самотек, плохо отразится на психике, характере и поведении животного.
Чтобы уберечь питомицу от психических и физиологических расстройств, необходимо проводить своевременную диагностику беременности. Проще всего удостовериться в наличии потомства с помощью УЗИ, которое можно сделать уже на третьей неделе.
Рацион
Большое внимание следует уделить рациону питомицы. Кошку, которая питается промышленными кормами, следует перевести на специальный корм для беременных
Если питомица ест натуральную пищу, в рацион следует ввести нежирные кисломолочные продукты, печень, каши. Также после консультации ветеринара, самке следует давать дополнительно витамины и минеральные добавки. Размер порций должен соответствовать размеру, возрасту и породе кошки. Перекармливать самку нельзя, иначе у нее может развиться ожирение, что плохо скажется на беременности. Так как растущие котята слегка сдавливают желудок, кормить любимицу следует чаще. При этом дневную порцию корма можно увеличить не более, чем на 10%.
Переношенная беременность
Если беременность питомца превышает 71 день, то она считается переношенной.
Почему самка не торопится родить:
- Плод испытывает сильную гипоксию, но чаще всего, он уже не имеет признаков жизни. Заметить «замерзшую» беременность можно самостоятельно – из половой щели начинает выделяться жидкость, плод не шевелится в утробе своей матери. Для точной постановки диагноза необходимо обратиться в ветеринарную клинику, чтобы специалисты сделали УЗИ. Процедура наиболее точно скажет о состоянии плаценты, жизнеспособности плода. Если котята мертвы, врачи могут назначить кесарево сечение или медикаментозные, искусственные роды.
- Старородящие кошки вынашивают котят обычно дольше, чем молодые самки.
- Незнание точной даты оплодотворения. Если кошка уличная, то определить точную дату зачатия котят достаточно проблематично. Поможет развеять сомнения обращение к ветеринару, который используя различные методы, в том числе УЗИ, спрогнозирует примерную дату окота.
Как принять роды правильно
За несколько часов до родов кошка начнёт вести себя беспокойно: метаться из стороны в стороны, нервничать, громко мяукать, копаться в коробке, отказываться от пищи. Многие животные в этот период стараются держаться поближе к хозяевам, как бы ища у них поддержки. На этом этапе ваша задача – приласкать питомицу и успокоить её.
Первый признак начавшихся родов – схватки, во время которых кошка будет дышать с открытым ртом. Она может рожать в положении сидя (присев на задние лапы) либо лёжа на боку. При нормальном течении родов котёнок появляется на свет в течение часа после начала схваток.
Котята могут рождаться с перерывами длительностью от 10 минут до 2 часов. Если питомица долго не может родить очередного детёныша, необходима консультация и помощь ветеринара.
На протяжении всего процесса сохраняйте спокойствие: как правило, животные чувствуют настроение своих хозяев. Не вмешивайтесь в процесс без лишней необходимости, лучше успокаивайте любимицу ласковым голосом и слегка поглаживайте её.
Если схватки слабые, ей можно помочь: плавными движениями погладьте живот и спину питомицы.
Обычно после появления котёнка кошка сама прокусывает околоплодный пузырь и перегрызает пуповину. Но в случае первых родов она может не обратить на новорождённого никакого внимания, занимаясь собой. В этом случае вам необходимо вмешаться
Осторожно разорвите пузырь и освободите котёнка. Затем удалите слизь из лёгких при помощи чистой пипетки; можно также перевернуть котёнка вниз головой, обхватив за тельце и голову, и очень аккуратно встряхнуть, чтобы дать жидкости вытечь
Когда новорождённый начнёт дышать, перережьте пуповину обработанными антисептиком ножницами на расстоянии 2-5 сантиментов от брюшка и перевяжите ниткой. Кончик также нужно обработать.
- Оботрите котёнка чистой марлей и приложите к животу кошки, чтоб он мог сосать молоко – это не только позволит новорождённому насытиться, но и простимулирует дальнейший процесс родов у его матери.
- Котят, которые уже поели и были вылизаны, нужно переложить в отдельное мягкое гнёздышко с грелкой, где они будут спать. Предварительно вытрите всех малышей досуха чистой пелёнкой.
- Сосчитайте количество последов, появляющихся за каждым новорождённым. Как правило, кошки поедают их, но лучше позвольте своей питомице съесть не более одного-двух – иначе у неё может произойти расстройство желудка.
Обратите внимание! Если последом оказалось меньше, чем котят, обязательно обратитесь к ветеринарному врачу – оставшаяся в матке плацента может спровоцировать воспаление
- Окончание родов обычно заметно по поведению самки: она успокаивается и начинает мирно кормить новорождённых. Можно также аккуратно прощупать её живот, чтобы определить, остались ли там котята.
- Уберите испачканные пелёнки, наведите порядок в коробке и обеспечьте матери и малышам полный покой. Не подпускайте к ним других домашних животных, в том числе и отца котят, если он живёт с вами – кот может навредить новорождённым и даже съесть их. Поставьте у гнезда миску с водой, лоток и корм для кошки-матери.
Методы определения в условиях ветклиники
Безусловно, ветеринарные врачи обладают более широким спектром способов определения беременности, на достоверные результаты которых они опираются. К таким методам относят:
- внешний осмотр животного;
- пальпация (правильное прощупывание) живота;
- лабораторные анализы биологических жидкостей;
- УЗИ;
- рентген.
Внешний осмотр кошки
Врач проводит подробный осмотр беременной кошки, отмечает те признаки беременности, которые становятся заметны и невооруженным глазом уже ко 2 месяцу. С помощью осмотра определяют:
- увеличение живота, толчки внутри плодов;
- набухание молочных желез, изменение их цвета сосков на более интенсивный;
- спокойное, размеренное поведение кошки, несмотря на то, что она находится в ветклинике, а к ней прикасается посторонний человек (ветеринар).
Ощупывание живота (пальпация)
Кошка ставится на смотровом столе на четвереньки, успокаивается поглаживанием, ласковым разговором. Допускается некоторое приседание животного, но не давать ложиться. Ветеринар прикладывает с обеих сторон ладони к животу, аккуратно начиная прощупывать по линии вдоль позвоночника к поясничным позвонкам. Опытный врач легко нащупает рога матки, имеющие на ощупь вид уплотнений, размером немногим больше грецкого ореха (после 21-25 дня предполагаемой беременности). Если принесли кошку в глубоком сроке беременности, то врач отчетливо пальпирует отдельные плоды.
Лабораторные анализы
Данным методом исследования занимаются ветеринарные лаборатории. Ветврачом отправляется венозная кровь и моча, собранная через катетер, или принесенная владельцем. Как определить срок беременности у кошки по анализам?
В организме происходит масса различных преобразований в период беременности, информативно отражаемых в показателях исследований мочи и крови. Биохимический анализ покажет полноту картины физиологического состояния кошки, включая «оплодотворенное» положение.
У кошек не вырабатывается гормон беременности ХГЧ (хорионический гонадотропин), как у женщины. Такой анализ у мелких животных не проводится.
- Кошачья плацента продуцирует гормон релаксин, именно он определяется в крови специальными экспресс-тестами.
- Рекомендован данный анализ к проведению не ранее 25 дней после предполагаемого оплодотворения.
- С этого периода идет закладка плаценты, начинает вырабатываться гормон.
- Данный тест также применяют для отделения ложной беременности от истинной (ложная протекает без выработки гормона в кровь).
- Результат теста обычно готов уже через 10 минут.
- Один нюанс – киста яичника может давать ложный результат, поэтому если сомнения остаются, лучше добавить УЗИ.
Лабораторные исследования мочи на установку беременности не проводят. Колебания в показателях не специфичны и могут быть спутаны с показателями в период возникновения каких-либо патологий. Также анализ сопряжен с некоторыми сложностями забора материла.
УЗИ (ультразвуковая сонография)
Считается одним из самых информативных методов, с помощью которого можно определить беременность кошки. На местах для потенциального контакта с ультразвуковым датчиком следует выстричь шерсть (с двух сторон от белой линии живота).
В зависимости от мощности аппарата внутри можно увидеть котят, зарегистрировать их сердцебиение. Через 20 дней после предполагаемой вязки можно обнаружить плоды, а через 28 – наличие двигательных рефлексов, возможные пороки развития, их жизнеспособность. Ранее проводить УЗИ бессмысленно.
Рентген
Достаточно вредный способ определения беременности у кошек. Практически повсеместно применялся до появления УЗИ. С помощью рентгена на самых поздних сроках можно увидеть точное количество котят (считают по черепам). Саму беременность по рентгену определить нельзя.
До 40 дня, пока у котят не появился позвоночник, снимок покажет только увеличенную матку, но не причину этого увеличения. Это означает, что невозможно отличить маточные патологии от нормальной беременности по рентгеновскому снимку до срока 1,5 месяца. Сейчас данный способ обследования применяется чрезвычайно редко и исключительно по особым показаниям, когда УЗИ не дает нужной информации.

Явные признаки беременности на поздних сроках
Точнее сказать, произошло ли зачатие, можно примерно через три недели. Понять помогут следующие симптомы:
Можно при помощи пальпации определить наличие эмбрионов в животике
Надавливания должны происходить очень осторожно, чтобы не повредить малышей. Слишком резкий осмотр может спровоцировать выкидыш.
Молочные железы и соски стают набухшие, приобретают более яркий цвет окраски.
Происходит резкое увеличение аппетита, возможно появление изменчивости в восприятии продуктов
Ранее употребляемый корм может отторгаться, а к ранее нелюбимой пище появиться интерес.
При сроке 3-5 недель животик округляется.
При достижении 6 недель можно прощупать котят.
При сроке 7-8 недель возможно заметить движение малышей, почувствовать сердцебиение, определить головку и тело.
Удалось ли забеременеть любимице можно узнать, используя клинический тест на релаксин. Этот тест сможет дать достоверную информацию только спустя 3 недели после предполагаемого дня наступления интересного положения, для его проведения нужна плазма крови. Результат будет готов через 10 минут. Определить удачно ли закончилась попытка забеременеть можно при помощи рентгена на 5 неделю после вязки.
Собственно, если в начале и середине беременности у владельца кошки еще могут оставаться сомнения по поводу скорого появления котят, то уже с 7-8 недели все абсолютно понятно:
У питомицы начинается период умиротворения. Кошка редко покидает лежанку без необходимости. Как правило, ее перестают интересовать хозяйские призывы к игре;
Движения котят в животе видно невооруженным глазом
Кроме того, малыши явственно прощупываются сквозь брюшную стенку (важно не переусердствовать, нанеся еще не родившимся котятам травму);
Животное начинает искать место, где будут проходить роды. Причем далеко не всегда таким гнездышком бывает кошачья лежанка
Иногда облюбованным кошкой местом становится бельевой шкаф, кровать, не слишком высокая антресоль. А порой питомица прячется в труднодоступные места: под кровать или диван;
За сутки-двое до родов у будущей мамы-кошки может появиться молоко. Буквально перед родами животное начинает часто мяукать, тяжело дышать (это означает, что скоро начнутся схватки).
Вот, пожалуй, самые явные признаки, позволяющие понять в домашних условиях, что кошка беременна после вязки. Однако далеко не всегда они присутствуют. Так, например, в начале беременности некоторые мурлыки любят перекусить, тошнота их вовсе не тревожит. Другие – почти не набирают в весе, а настроение и активность третьих не меняется.
Бывают и такие ситуации, что у кошки не начинаются роды. Что делать? Если животное не рожает более 70 дней, стоит убедиться, что беременность не ложная. Если беременность все же настоящая, скорее всего, она замерла, а значит, детеныши уже погибли. Необходимо проверить кошку у специалиста и сделать операцию, что позволит избежать инфекционных заболеваний и повреждений матки.
Уход за беременной кошкой
Если хороший хозяин ухаживает за своей кошечкой в обычном её состоянии, то позаботиться о беременной питомице дело святое.
В первые недели организму киски потребуется достаточное количество полезной пищи. Здесь не работает правило стандартной порции: ориентируются по запросам животного, она вполне может съедать в это время больше обычного.
Когда проходит половина срока, то хозяину, наоборот, надо будет вводить некоторые ограничения в питании: количество корма должно уменьшаться в порции, а промежутки между кормлениями сокращаться.
Если кошечку кормили натуральной пищей, то к продуктам добавляют большее количество творога или кефира. В любом случае, организм животного нуждается в кальции. Разумно подобрать специализированные корма для беременных кошек. Ветеринар проконсультирует касательно необходимости в витаминных или минеральных добавках, после осмотра питомицы.
Предлагаем ознакомиться: Комбикорм для перепелов, состав корма для перепелов (таблицы)
Для животного важно оставаться в хорошей физической форме, поэтому не отказывайте ей в умеренно подвижных играх. Самое главное — никакого стресса для питомицы!
Самое главное — никакого стресса для питомицы!
Беременность у кошки через 9 недель подойдёт к концу, а место для родов должно быть готово заранее. Пушистая будущая мать сама даст знать, когда нужно будет заняться решением этого вопроса.
Во время родов животное чувствует себя спокойнее в укромном тихом месте. Поэтому ищут вместительную коробку и готовят чистые тряпицы.
Покой последних двух недель зависит от поведения всех домочадцев. Особенно не стоит суетиться маленьким детям в ожидании котёнка, это нервирует кошку.
Животное приучают к будущей лежанке, обустраивая её так, что питомица чувствует себя там спокойно и расслабленно. Хотя бывает, что с любовью приготовленное хозяйкой гнёздышко по какой-то причине не кажется будущей матери подходящим. В этом случае, просто следят, куда именно стремиться животное. Тогда придётся во время родов перебазироваться хозяйке в выбранное любимицей местечко.
С момента начала родов, хозяин должен находиться рядом с роженицей— так будет спокойнее всем. Если есть возможность на первые роды вызвать ветеринара, это будет отлично!
Корм для беременных кошек должен быть полностью сбалансированный — все недостатки питания могут сказаться не только на самой будущей матери, но и на котятах.
После 7-ми недель можно кормить питомицу 3-4 раза в день понемногу.
В расчёте рациона учитывают возраст, габариты, породу кошки. В первый месяц кошечка должна получать больше кальция, во второй — белка.
Рыба допускается только нежирная и строго отварная, зато говядина составляет 50% суточного рациона. В завершение трапезы можно предложить немного кефира.
На пользу пойдёт отварная курятина, яичный желток, каши, тёртые овощи, простокваша.
Забота о кошке во время беременности предполагает повышенное внимание к состоянию животного со стороны домочадцев. Предлагаем ознакомиться: Если у кошки горячие уши: нормальное явление или стоит волноваться?
Предлагаем ознакомиться: Если у кошки горячие уши: нормальное явление или стоит волноваться?
Разумеется, что рожать хозяйская любимица должна в доме под присмотром, ведь улица — рассадник всевозможных инфекций. Беременную киску держат поодаль от других питомцев, особенно, посещающих улицу. Это требование обусловлено несколькими причинами:
- самка становится агрессивнее, что чревато травмами;
- наличие нескольких котов грозит двойной беременностью, выкидышем или гибелью выводка;
- возможность инфицирования беременной, или заражения глистами.
В этот важный период запрещено давать препараты против паразитов, блох и некоторые другие лекарства. Все профилактические меры и анализы делают до вязки.
Чем ближе конец срока, тем более неуклюжей становится мурлыка, и её желание залезть на высоту может быть чревато серьёзными последствиями, вплоть до выкидыша.
Ежедневно нужно осматривать питомицу — любое отклонение от нормы должно насторожить хозяина. Поводом посетить ветеринарную клинику может стать слабость кошечки, отказ от пищи задолго до даты родов, обильные выделения из влагалища.
Признаки беременности у кошки
Чтобы убедиться в том, что кошка «понесла», сначала нужно обратить внимание на следующие симптомы:
- через месяц после вязки у кошки не возобновилась течка;
- кошка потеряла интерес к противоположному полу.
Беременность у кошек в среднем длится около 9 недель, или 64 дня. Изменения внутри организма, как и у женщины, находят отображение во внешнем облике самки.
Таблица 1. Динамика изменений в организме кошки после «удачной» вязки.
| Период, неделя | Процесс |
| 1 | Сперма достигает яйцеклетки и происходит зачатие |
| 2 | Оплодотворенные яйцеклетки погружаются в матку |
| 3-4 | Начинают развиваться внутренние органы эмбрионов, на фоне чего происходит гормональный всплеск в организме |
| 5-6 | Продолжение развития эмбрионов |
| 7 | Организм кошки начинает вырабатывать молоко |
| 8 | Возможно резкое затихание эмбрионов (это нормально), происходит их группировка для выхода из тела матери |
В течение первых 2–3 недель каких-либо заметных внешних симптомов, указывающих на беременность, у кошки нет. Они появляются только к концу первого месяца после зачатия — темнеют и немного опухают соски молочных желез. У кошки может появиться тошнота и рвота, причем не только в утреннее время.
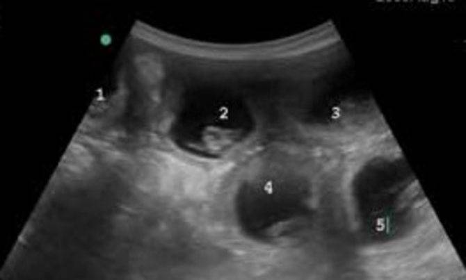
УЗИ беременной кошки по неделям
На пятой неделе врач при физикальном осмотре уже может подтвердить беременность и даже приблизительно сказать, сколько родится котят.
К концу шестой недели аппетит кошки нарастает, она начинает «наедаться» на будущее. Уже взгляде на живот кошки можно увидеть внутриутробное движение в нём. К седьмой неделе беременность у кошки сложно не заметить, поскольку живот значительно увеличился в размерах.
Котята в утробе на снимке УЗИ (18 недель)
К восьмой неделе соски сильно набухают, приобретают выпуклость. На животе может постепенно исчезнуть шерсть (покров возобновится после родов). Кошка уделяет много времени гигиеническим процедурам. Аппетит несколько снижается, поскольку плоды давят на внутренние органы.
Эмбрионы котят
Капли молока на сосках — признак приближающихся родов. В эти дни следует следить, не появились ли выделения из вульвы. Они прозрачные, с красноватым оттенком. Их появление свидетельствует о том, что окот может произойти в любой момент.
У сиамских кошек беременность длится дольше обычного
Но если и после этого роды не наступили, следует обратиться к врачу, чтобы убедиться в отсутствии проблем со здоровьем.
Разновидности процедуры
Разобравшись с вопросом, можно ли сделать аборт кошке, необходимо изучить разновидности процедур.
Гормональные способы аборта
Гормональные способы основаны на употреблении медикаментозных препаратов. Как сделать выкидыш кошке в зависимости от периода беременности:
- Эстрогены используются для отторжения плодов сразу после спаривания. Этот гормон способен предотвратить беременность, так как препятствуют проникновению яйцеклетки в стенки матки.
- На середине срока используют простагландины. В результате действия препарата, из кошки выходят недоразвитые мертвые плоды.
- На поздних сроках используют лишь глюкокортикоиды. С их помощью вызываются преждевременные роды. Следует помнить, что такие роды могут быть очень опасны для питомицы.
Специалисты рекомендуют прерывать беременность в середине срока. Таким образом, можно избежать серьезных последствий для здоровья кошки.
Негормональные способы аборта у кошек
Владельцы часто интересуются, делают ли кошкам аборт негормональными способами, так как не хотят давать питомице медикаменты.
Главный способ — стерилизация. Хирургическим способом врач удаляет матку с эмбрионами и яичниками. Такой способ выбирают хозяева, которые не хотят растить детенышей.
Чем больше срок, тем тяжелее будет процесс реабилитации
Внимание! Если хозяева не хотят получать приплод от питомицы, ветеринары рекомендуют проводить стерилизацию, не выжидая, когда наступит беременность. Отвечая на вопрос, как прервать беременность у кошки народными средствами, необходимо помнить, что растения негативно влияют на печень и почки питомца
Однако такие настойки считаются относительно безвредными по сравнению с медикаментами и операциями. Из трав используются следующие виды: мята, дягель, петрушка, дудник
Отвечая на вопрос, как прервать беременность у кошки народными средствами, необходимо помнить, что растения негативно влияют на печень и почки питомца. Однако такие настойки считаются относительно безвредными по сравнению с медикаментами и операциями. Из трав используются следующие виды: мята, дягель, петрушка, дудник.
Сколько длится беременность кошки
Знаете выражение «быстро только кошки родятся»? Надо сказать, что оно имеет рациональную основу. Минимальный срок беременности кошки составляет всего 53 дня. Максимально установленный срок – 72 дня. Разнится срок от количества вынашиваемых котят, породы и даже длины шерсти животного. Традиционно число детёнышей не превышает 6. В редких случаях в одном помёте можно разглядеть больше 6 плодов.
Установлено, что длинношерстные кошки вынашивают малышей, как правило, полный срок, т.к. все 72 дня (9 недель). А вот короткошёрстные красавицы управляются быстрее, всего за 58-68 суток
Важно знать, что более скоротечная беременность сигнализирует о наличии каких-либо патологий в развитии котят либо связанные со здоровьем самой мамочки
При рассмотрении вопроса о сроках вынашивания нельзя не брать во внимание и внешние факторы. Беременность может быть недоношенной и переношенной
На сокращение срока, в частности, нередко влияют стрессы, неосторожные прыжки (особенно в последние недели), неправильное питание или заболевание. Поэтому чтобы котята родились здоровыми, кошечку необходимо беречь в течение всего срока.
Как понять, что ваша кошка беременна
Оптимальный срок для определения беременности у кошки – от 3 недель. Это период, когда:
- 3-я неделя – у кошки начинают хорошо выделяться соски, часто шелушатся;
- 3-4 неделя – животное может рвать по утрам;
- 5-я неделя – кошка набирает вес, ее живот заметно увеличивается и приобретает грушевидную форму;
- 6-я неделя – молочные железы кошки наполняются и увеличиваются, прекращаются течки; кошка больше спит, становится малоподвижной, иногда теряет аппетит и не реагирует на котов.
Как и чем кормить морскую свинку.
Мало кого оставит равнодушным описание породы шарпей по этому адресу.
До трех недель беременности у кошки могут проявляться косвенные признаки – изменения в характере:
- она становится необычайно ласковой и спокойной, старается больше времени проводить с хозяином;
- кошка, любившая «гулять сама по себе», станет домоседкой;
- в первые недели она может кушать намного больше, чем обычно;
- у кошки ускоряется обмен веществ: учащаются дефекация и мочеиспускание.
Признаки беременности у кошек
Беременность кошки легко определить как по внешним признакам животного, так и по его поведению. Уже через 20-30 дней после зачатия у кошки округлятся и начнут слегка шелушиться соски, и это будет легко заметить, перевернув животное на спинку. Кроме того, кошка во время беременности уже на ранних сроках становится сонливой и неактивной, причем иногда у животного возможна рвота, но это вполне нормальное явление. На поздних сроках признаки беременности у кошек прежде всего сводятся к увеличению живота (он принимает грушевидную форму), а также к некоторому ухудшению аппетита (в некоторых породах).
Ложная беременность у кошки
Некоторые владельцы считают, что ложная беременность у кошки возникнуть не может. Но это ошибка. Ложная беременность у кошки вполне реальна, хоть и наблюдается реже, чем у собак.
Причины ложной беременности у кошки
- После вязки со стерильным, нездоровым или кастрированным котом.
- Нарушение репродуктивной функции у кошки.
- Гормональные нарушения у кошки – в этом случае ложная беременность у кошки наступает без спаривания.
Признаки ложной беременности у кошки
- Сонливость, апатия, временами нервозность.
- Нежелание общаться либо, напротив, чрезмерное требование внимания.
- Строительство гнезда.
- Обращение с игрушками или носками и другими предметами вашей одежды как с котятами.
- Незначительные выделения из вульвы через 6 – 8 недель после течки, кошка чаще вылизывается.
- Увеличение живота.
- Набухание сосков.
- Выделение молока из сосков.
- Вначале усиление, затем снижение аппетита.
- Расстройства пищеварения.
- Незначительное повышение температуры.




